CARCINOMA INVASIVO DE TIPO NÃO ESPECIAL (SEM OUTRA ESPECIFICAÇÃO SOE)/ CARCINOMA DUCTAL
Carcinoma ¿Qué es el Carcinoma? Tipos, Síntomas, Causas

CARCINOMA INVASIVO DE TIPO NÃO ESPECIAL; CARCINOMA DUCTAL INVASIVO. O tipo histológico mais comum do câncer de mama invasivo é o carcinoma ductal invasivo, também chamado de carcinoma invasivo de tipo não especial (SOE), representando 40 a 75% dos carcinomas mamários dependendo da série avaliada, sendo o seu diagnóstico feito por.
[SBM] Patologia Mamária Carcinoma Invasivo Não Especial makadu.live 2023
Equipe Oncoguia. Data de cadastro: 05/10/2014. Data de atualização: 24/07/2020. Os cânceres de mama que se disseminaram para o tecido mamário adjacente são denominados invasivos. A maioria dos cânceres de mama é invasivo, mas existem diferentes tipos. Os dois mais comuns são o carcinoma ductal invasivo e o carcinoma lobular invasivo.
Carcinoma lobular invasivo da mama características da mamografia, da ultrassonografia e da
Câncer de mama invasivo. O câncer de mama invasivo (ou infiltrante) é aquele que se disseminou pelo tecido mamário adjacente. Os tipos mais comuns são o carcinoma ductal invasivo e carcinoma lobular invasivo. O carcinoma ductal invasivo representa entre 70 a 80% de todos os cânceres de mama. Tipos especiais de câncer de mama invasivo.
Carcinoma ductal de mama, invasivo, infiltrante, grau, in situ, lobular y cura

O tipo histopatológico invasivo mais comum (observado em mais de 90% dos casos) é o carcinoma ductal infiltrante (CDI) e o segundo mais comum (em 5% a 10% dos casos), o carcinoma lobular infiltrante (CLI). Estas Diretrizes referem-se a estes dois tipos, sendo o termo Câncer de Mama utilizado como seus sinônimos.
Carcinoma invasivo de tipo não especial / Carcinoma ductal invasivo Câncer de Mama Brasil

Existem vários tipos de câncer de mama, e dois dos mais comuns são o carcinoma ductal invasivo e o carcinoma invasivo tipo não especial. Neste artigo, forneceremos uma visão abrangente sobre esses tipos de câncer de mama, incluindo informações sobre suas características, diagnóstico, opções de tratamento e perspectivas de recuperação.
Patologías de la mama

O carcinoma invasivo tipo não especial (Ductal SOE), até pouco tempo conhecido como carcinoma ductal invasor é aquele que se origina das células dos ductos mamários. Representa cerca de 70% dos casos de câncer de mama e tem boas chances de cura na maior parte das vezes, desde que tenha o diagnóstico precoce, tratamento rápido e adequado.
Tenho carcinoma invasivo de mama de tipo não especial com achados medulares, e agora? Câncer

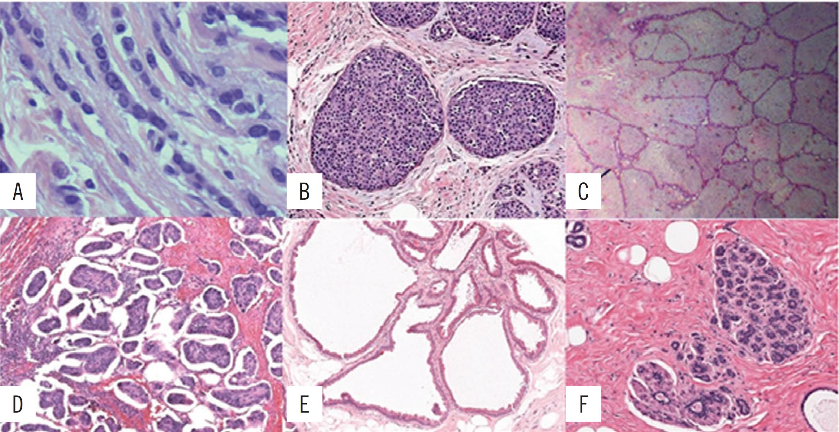
The majority of low grade invasive breast carcinomas of no special type belong to the luminal A intrinsic molecular subtype, are positive for hormone receptors (estrogen and progesterone receptors) and are negative for HER2. The invasive component will lack expression of myoepithelial markers (e.g., p63 and calponin).
Invasive Ductal Carcinoma, LM Stock Image C012/1392 Science Photo Library

20 de novembro de 2023. Carcinoma mamário invasivo é um diagnóstico usado para descrever um tumor cancerígeno na mama que não foi subclassificado em um tipo mais específico de câncer de mama. Testes adicionais realizados geralmente resultam na subclassificação do tumor como carcinoma ductal invasivo or carcinoma lobular invasivo.
Microfotografía de baja potencia de una biopsia de núcleo de mama que muestra un carcinoma

Podemos citar ainda o carcinoma invasivo do tipo não especial, avaliação presente entre 40% e 75% dos casos. Combate ao câncer de mama. Outubro é um mês especial no combate ao câncer de mama. Todos os anos, diversas organizações não governamentais e órgãos do governo promovem a campanha Outubro Rosa, que visa conscientizar as.
CARCINOMA DUCTAL INFILTRANTE GRADO 2 PDF

O carcinoma invasivo, de tipo não especial, também antigamente conhecido por carcinoma ductal invasivo, é o tipo histológico mais comum do câncer de mama, podendo ser Grau I, II ou III. Através da análise imunoistoquímica, pode ser dividido em suptipo hormônio positivo, HER2 superexpresso ou triplo negativo. O planejamento terapêutico dependerá destas classificações. O carcinoma.
O que é um tumor benigno? Educar Saúde

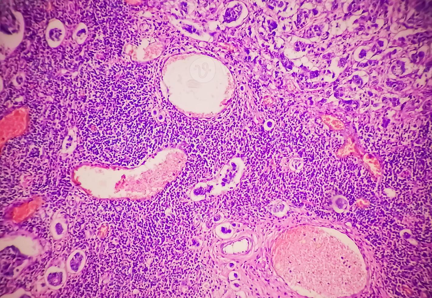
Carcinoma invasivo de tipo não especial (carcinoma ductal invasivo SOE). Grau histológico (Scarff-Bloom-Richardson modificado por Elston e Ellis) intermediário/grau 2 (formação tubular = escore 3; grau nuclear = escore 2; índice mitótico = escore 1/soma dos escores = 6). Carcinoma ductal in situ de padrão sólido e comedônico com.
Método de diagnóstico histopatológico de nódulos mamários por meio do algoritmo de aprendizagem

O carcinoma invasivo de tipo não especial (ou carcinoma invasivo sem outra especificação) é o tipo mais frequente de câncer de mama. Também é conhecido por carcinoma ductal invasivo. O ideal é que seja detectado em fase inicial, através de mamografia. Quando o tratamento é feito corretamente as chances de cura são superiores à 95%.
CARCINOMA INVASIVO DE TIPO NÃO ESPECIAL (SEM OUTRA ESPECIFICAÇÃO SOE)/ CARCINOMA DUCTAL

A presença de carcinoma invasivo no resultado do exame anatomopatológico da biópsia de mama significa que o patologista identificou através do microscópio a presença de células malignas invadindo o tecido ao redor dos ductos e lóbulos da mama. Muitas vezes, o tumor invasivo encontra-se ao lado de uma forma de tumor não invasivo, ou.
História natural de carcinoma lobular x ductal · de mama Carcinoma invasivo de tipo não

Terminology. The 4 th edition (2012) of the WHO classification of tumors of the breast changed the preferred terminology from "invasive ductal carcinoma (IDC), not otherwise specified (NOS)" to "invasive breast carcinoma (IBC) of no special type (NST)" 4.The rationale is that the term "ductal" relies on unproven histogenetic assumptions for this heterogeneous group of cancers.
CARCINOMAS INVASIVOS MAMA TIPO HISTOLOGICO YouTube

El carcinoma ductal es el tipo más común de cáncer de mama. Este tipo de cáncer se forma en el revestimiento de un conducto mamario, dentro de la mama. Los conductos transportan leche materna desde los lóbulos, donde se produce, hasta el pezón. El carcinoma ductal puede permanecer dentro de los conductos como cáncer no invasivo.
Entenda os tipos de câncer de pele Instituto Oncoguia

ductal invasivo (CDI), também conhecido como carcinoma ductal invasivo de tipo não especial (CDI/TNE). O carcinoma lobular invasivo (CLI) é comumente um tipo de câncer proliferativo de baixo grau e indolente, ou seja, as células cancerígenas apresentam características mais semelhantes às células normais e o câncer tende a crescer e se.
.